主頁 >  生活百科 >  膝關節退化|醫生拆解置換人工膝關節外其他手術選擇

膝關節退化|醫生拆解置換人工膝關節外其他手術選擇

編輯部
編輯: 編輯部
日期: 2024-02-23

人體跟機械一樣,用久了自然會出毛病,就如膝關節退化便甚為常見,特別是經常四處行走或熱愛運動的人士,更易在年老時受膝痛、無法活動之苦。很多人以為,一旦有膝關節退化,就只有動手術更換人工膝蓋一途;不過骨科楊仕俊醫生指出,在保守治療與換膝之間,其實仍有其他療程選擇,例如是高位脛骨截骨術,適合較年輕及活動量高的患者,可將換膝時間推遲,甚至日後毋須再做手術。

膝關節退化治療|初期用藥或打針可減疼痛

楊仕俊醫生表示,在膝關節退化的初至中期時,膝關節會感到輕微疼痛;若步行多於一兩小時,或上樓梯時,可感到力不從心,但行動未受太大限制,休息後便會好轉。此階段可嘗試非手術治療,包括服用消炎止痛藥、強化肌力或補充劑葡萄糖胺,前二者可減輕痛症,增強耐力,後者能減痛兼恢復膝關節靈活度,然而暫未有肯定的研究支持葡萄糖胺的療效,效果亦人人不同。另外,亦可注射針劑透明質酸,同樣有助紓緩痛症及增加靈活度,但限於初期使用。「高濃度血小板血漿(platelet-rich plasma, PRP)是近十年出現的保守性治療,適合輕微至中度患者,可針對關節炎症問題,能減輕痛症及勞損。然而由於太過嶄新,目前只有短期報告,未知長期功效如何。」楊仕俊醫生說。

膝關節退化治療|按年齡及活動需求選擇手術

假如嘗試上述方式一段時間後漸漸失效,或症狀已相當影響日常生活,患者則須考慮手術方案。楊仕俊醫生指,如果患者於六十歲以下,仍要上班、體力勞動或熱愛運動,平日須經常站立或行走,而勞損未算嚴重,可接受高位脛骨截骨術。「只要膝關節退化處於初至中期,但內側勞損明顯的患者,導致痛楚劇烈、難以行走,皆可評估是否能進行此手術。」楊醫生強調,換膝手術後患者不宜進行劇烈運動,因此高位脛骨截骨術是相對適宜的方式。

膝關節退化治療|手術糾正關節受力角度

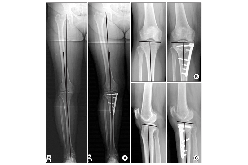
高位脛骨截骨術的原理是,於小腿脛骨上方切開缺口後,將脛骨微曲及固定後,按力學原則將膝關節的受力角度轉向往外側,以減輕內側受力引起的痛楚,保護內側已有損磨的軟骨,當中會植入物料作固定及輔助脛骨復原。由於手術複雜度較低,約歷時1至2小時即可完成。患者於術後4至6星期已可復康,得以減少疼痛及減慢關節磨蝕,手術效果大約維持10年。楊仕俊醫生解釋,由於高位脛骨截骨術只可改變膝關節受力情況,對整體膝結構沒有改變,所以要挑選勞損未算太差的患者。

(圖片來自Offical Journal of Korean Knee Society)

膝關節退化治療|關節已僵硬須全膝置換

不過,若膝關節情況非常惡劣,除了長期痛症,而且膝關節嚴重僵硬,無法屈膝,檢查發現大部分軟骨已磨蝕,便要進行全膝關節置換的手術。當然,如能及早求醫,便可接受較簡易的高位脛骨截骨術,楊仕俊醫生以平均壽命約80歲為例,如於50歲及早求醫,在情況輕微至中等時進行截骨術,仍可保持高強度的活動能力,待60歲後如果勞損嚴重,才考慮換膝手術,其效果可維持20年,不必再作第二次換膝手術。「若接受截骨術後能好好保養膝關節,亦可能終生毋須考慮換膝。」

Text:Editorial

34021次閱讀
Loading
icon_facebook icon_whatsapp icon_line icon_mail icon_print