SEN兒童|甚麼是奶瓶性蛀齒?醫生拆解特殊兒童常見口腔問題及牙齒護理技巧
口腔健康|如何定義特殊兒童?
特殊兒童是指在身體、智力、情感、社交等方面,與一般兒童存在差異的兒童。特殊兒童的種類很多,需注意的是,特殊兒童並不是一個統一的概念,而是包括多種不同的身體和心理障礙。每種障礙都有其特點和需要特別關注的方面,因此在對特殊兒童進行教育和護理時,需要根據具體情況,制定相應的計畫和措施,以幫助他們克服困難,提高生活質素。
15934次閱讀
特殊兒童是指在身體、智力、情感、社交等方面,與一般兒童存在差異的兒童。特殊兒童的種類很多,需注意的是,特殊兒童並不是一個統一的概念,而是包括多種不同的身體和心理障礙。每種障礙都有其特點和需要特別關注的方面,因此在對特殊兒童進行教育和護理時,需要根據具體情況,制定相應的計畫和措施,以幫助他們克服困難,提高生活質素。
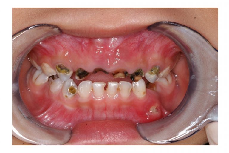
特殊兒童因先天因素或後天服藥的原因,而令牙齒的發育有所變化。他們或因遺傳性疾病令牙齒發育異常,有機會出現畸形牙齒、多生牙齒或先天性缺牙。免疫系統受損或患有組織結構疾病的兒童,較易出現蛀牙及牙齦疾病。而患有嚴重智障或腦癱的小孩,或會出現慣性磨牙,損害琺瑯質,導致牙齒結構損失。他們在治療中服食的藥物可能含有糖份,會引致口乾症及蛀牙。
對於有唇顎裂和發育不良等口腔相關問題的特殊兒童,避免吃太硬、太甜的食物。另外,要防止「奶瓶性蛀齒」,即避免幼童睡前喝奶或含奶瓶睡覺的習慣,這樣會令牙齒整晚沾上奶。若家長沒有徹底幫幼童清潔牙齒, 會增其加蛀牙的風險。在正餐和茶點以外,應減少進食次數,並吃一些對牙齒有益的食物例如牛奶、芝士、果仁等,取代無益的食物如蛋糕、糖果、果汁等。這樣能減少細菌分泌酸素,以減低牙齒暴露在酸素的時間,有效預防蛀牙。此外,對於有自閉症、過敏等疾病的特殊兒童,需要避免口腔刺激,如熱飲、酸性食物等,以免造成不適和口腔疾病。
「奶瓶性齲齒」的特徵乃蛀牙主要出現生於上排門牙和第一犬齒,而下排門牙蛀牙較輕微,因為下排門牙靠近唾液腺, 受到舌頭和唾液的保護。
總括而言,特殊兒童的口腔護理需要家長或照顧者的注意和幫助,在定期口腔檢查、正確刷牙、口腔治療、培養口腔衛生習慣等方面都需要特別關注,以維護口腔健康。
延伸閱讀
