牙齒酸蝕 | 發現孩子的牙齒凹陷變黃?一文了解牙齒酸蝕的症狀及預防方法
「孩子的牙齒看上去黃黃的,但又不像牙漬,不管怎麼認真刷牙都不能變白,為什麼?」
「小朋友喝冷飲時覺得牙齒不舒服,不會是小小年紀就有牙齒敏感吧?」
「我注意到孩子的牙齒表面有一些小凹洞,不像是蛀牙,也不似是撞壞了……這是正常的嗎?」
如果小朋友有上述口腔問題,有可能是牙齒被酸蝕。
38651次閱讀
「孩子的牙齒看上去黃黃的,但又不像牙漬,不管怎麼認真刷牙都不能變白,為什麼?」
「小朋友喝冷飲時覺得牙齒不舒服,不會是小小年紀就有牙齒敏感吧?」
「我注意到孩子的牙齒表面有一些小凹洞,不像是蛀牙,也不似是撞壞了……這是正常的嗎?」
如果小朋友有上述口腔問題,有可能是牙齒被酸蝕。
「牙齒酸蝕」是指口腔內有太多酸性物質,軟化了牙齒表面的琺瑯質,情況持續的話會令琺瑯質溶解及流失,對牙齒造成傷害。跟蛀牙不一樣,引致牙齒酸蝕的酸性口腔環境並非由細菌造成。
大部分病患的牙齒酸蝕情況都與飲食有關:經常吃喝酸性食物或飲品,例如果汁、汽水、補充維他命C飲品等,口腔環境長期處於酸性狀態,令琺瑯質被酸蝕。值得一提的是,人們為了讓一些酸性食物味道更好,會添加大量糖分,讓我們不知不覺間進食了很多「不酸」的酸性食物,影響牙齒和身體健康。
除了酸性飲食,患有飲食失調症而經常嘔吐的病患,或者長期服食含有酸性成分藥物的人,都有牙齒被酸侵蝕的風險。
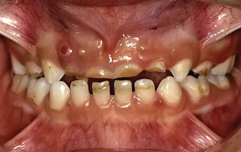
不同程度的乳齒牙齒酸蝕。(圖片來源:https://doctorlib.info/)
牙齒酸蝕早期,牙齒的咬合面會變得平滑,臼齒咬合面甚至會出現平坦的小平台或是凹陷。如果酸蝕情況持續,琺瑯質會變薄,甚至露出象牙質,牙齒顏色繼而變黃。失去堅硬的琺瑯質作為保護,患者吃喝冷、熱、甜、酸的食物和飲品,或者刷牙時碰到牙齒,可能會感到痹痛,也就是有敏感牙齒問題。牙齒酸蝕嚴重的話, 甚至會影響牙髓,引致牙齒劇痛。另一方面,牙齒酸蝕的患者患上蛀牙的機會亦相對較高。
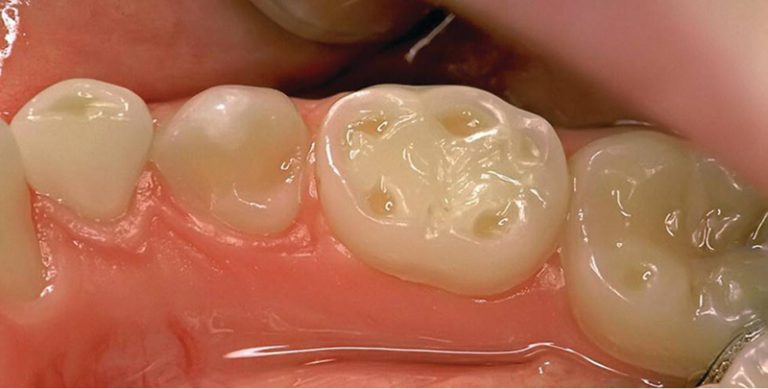
不同程度的乳齒牙齒酸蝕。(圖片來源:https://doctorlib.info/)
延伸閱讀
