All-on-4 全口重建植牙和傳統植牙的分別
越來越多人有全口缺牙或牙齒脫落問題,對日常進食,咬合說話,外觀上都有嚴重影響。如果缺牙情況嚴重,做傳統植牙的手術療程會很長,所以很多病人也會選擇All-on-4 全口重建植牙。
4135次閱讀
越來越多人有全口缺牙或牙齒脫落問題,對日常進食,咬合說話,外觀上都有嚴重影響。如果缺牙情況嚴重,做傳統植牙的手術療程會很長,所以很多病人也會選擇All-on-4 全口重建植牙。
All-on-4 全口種植是一種牙科手術,旨在幫助失去大部分或全部牙齒的人恢復牙齒功能和美觀。這種手術是以建築學的原理,將力量平均分配在4支的人工植體來支撐整個口腔的牙齒修復。所有的四個人工植體會在一次手術中安裝,因此這個過程通常比傳統的單個種植釘手術快得多,而且手術過程輕鬆、手術傷口較少、復原也更快。
傳統全口植牙 | All on 4全口植牙 | |
| 適合對象 |
|
|
| 植牙費用 | 高 | 中 |
| 手術次數 | 多次手術 | 一次手術 |
| 是否需要補骨 | 範圍通常較大 | 無需補骨或少量補骨 |
| 咬合力 | 接近真牙 | 接近真牙 |
| 復原過程 | 較長 | 較短 |
All-on-4植牙圖解
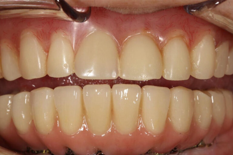
如果口腔或牙骨狀況合適,All-on-4是一個不錯的方案去改善牙齒狀況,以下是其中一個全口缺牙求診者做了All-on-4 的手術前後對比。
除了外觀得到改善外,後續病人覆診也表示咬合能力和舒適感比起用活動假牙有很大程度的改善。
All-on-4手術前:
All-on-4手術後:
All-on-4全口植牙是一個較傳統植牙相對簡單,並可以為缺牙人士提昇牙齒功能和外觀的方法 ,但手術前的評估和定製牙橋等需要足夠設備和牙醫的臨床經驗和技術才能做得好和有接近真牙的效果,而且當中牽涉麻醉過程,所以選擇牙醫和牙科診所時要加倍小心,多和牙醫溝通以達至良好的植牙效果。
延伸閱讀
