磨牙治療|磨牙原因多 與睡眠窒息有關?牙醫拆解磨牙症狀、影響、治療方法和自我檢查貼士
磨牙治療|甚麼是磨牙症?
【磨牙原因及治療】患者不由自主下和沒有意識下研磨上下顎牙齒,咬牙或者透過支撐或推動下顎都是患上了磨牙症。不分男女老幼都有機會出現磨牙。
70178次閱讀
【磨牙原因及治療】患者不由自主下和沒有意識下研磨上下顎牙齒,咬牙或者透過支撐或推動下顎都是患上了磨牙症。不分男女老幼都有機會出現磨牙。
磨牙會發生在睡眠時和清醒時。前者是有或沒節奏性的咀嚼肌的活動,通常從一側到另一側或前後擦磨上下顎。後者是重複的緊咬牙齒或者透過支撐或推動下顎,而不發出聲音,多數於日間發生。
磨牙成因多而複雜 。一般認為成因是觸發到中樞神經系統所發出的訊號,令咀嚼肌肉不自主地持續收縮,而出現磨牙情況。雖然相關的研究報告未有決定性的結論,但一些高危因素比如心理壓力或憂慮,外在因素如吸煙、飲酒、飲過量的咖啡因飲品、服食精神科藥物有可能會導致磨牙。除此之外,過量看電視影片、打機、玩電話等而影響睡眠質素,亦都被認為是磨牙的高危因素。遺傳因素亦不能忽視。而患有睡眠障礙、睡眠窒息症或胃酸倒流的病人,都會有磨牙的問題。
研究發現大概八成病人都沒有察覺自己有磨牙的習慣(Thompson et al., 1994)。多數患者由枕邊人通知。不過亦可自我觀察一下:
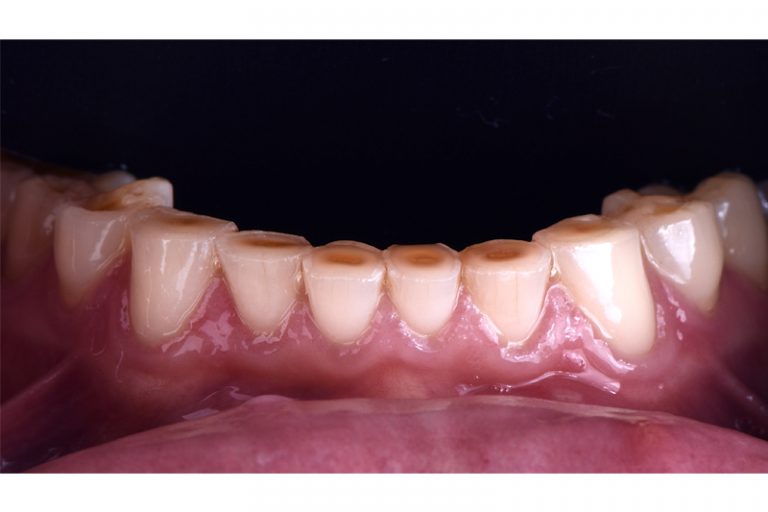
長年累月的磨牙令牙齒被磨平和變短
特製牙膠以分隔上下兩排牙齒
磨牙或能助睡眠窒息症病人在睡覺時保持呼吸道暢順;此外也許能助胃酸倒流的病人增加口水分泌,從而淡化胃酸,減輕牙齒磨蝕的速度。牙醫會轉介患有睡眠窒息症或胃酸倒流而引致磨牙的患者到專科醫生跟進。
延伸閱讀
