生智慧齒|不痛可以不拔除嗎?剝智慧齒會面癱?醫生拆解智慧齒手術風險 1種情況屬高風險
生智慧齒|智慧齒是甚麼?人人都有的嗎?
智慧齒是第三隻大牙,亦稱第三臼齒。通常在18歲左右長出來,有些人早些,有些人遲點。我們的前人吃的食物比較粗糙,因此用於咬碎食物的大牙亦會較早被磨蝕。科學家估計最後才長出的智慧齒用來取代蝕去的牙齒。
大部份人都有四隻智慧齒,分別於上顎下顎左右各一隻,但亦有人缺少一隻或多隻智慧齒的。
34573次閱讀
智慧齒是第三隻大牙,亦稱第三臼齒。通常在18歲左右長出來,有些人早些,有些人遲點。我們的前人吃的食物比較粗糙,因此用於咬碎食物的大牙亦會較早被磨蝕。科學家估計最後才長出的智慧齒用來取代蝕去的牙齒。
大部份人都有四隻智慧齒,分別於上顎下顎左右各一隻,但亦有人缺少一隻或多隻智慧齒的。
智慧齒長出的時候可能會導致牙肉發炎,或食物殘渣殘留而導致細菌感染,因此或會出現疼痛和不適的症狀。
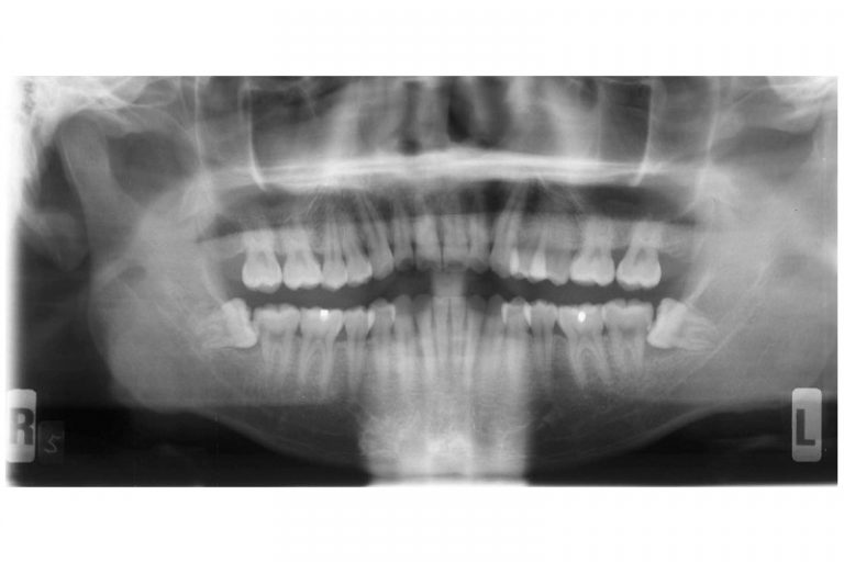
全口X光片顯示 下顎左右有阻生智慧齒
即使沒有症狀,也有隱藏問題,所以應該定期找牙醫檢查,若出現隱藏的問題,就算不痛亦應拔除智慧齒。阻生等可能會導致牙周病或蛀牙, ,令旁邊本來有用的大牙或其牙骨缺損,但當患者開始疼痛的時候才處理已經太遲。因此建議在18至20歲左右前往牙醫診所檢查並拍攝一張X光片,判斷是否有阻生並需要剝牙。大部份人的智慧齒也沒有足夠位置長出,在有限的空間下成長會導致阻生,無論它生長的角度如何都可能導致上述口腔的問題。
值得注意的是,智慧齒阻生或令組織病變而形成囊腫,因此別以為不痛不癢便無須理會智慧齒。
智慧齒阻生令顎骨內其他組織病變而形成顎骨囊腫
剝智慧齒不一定要開刀,視乎智慧齒位置、阻生程度,例如在上顎的,很多時候都不需要開刀。至於下顎長出的大多數需要開刀。手術過程是先把牙肉打開,再將牙骨移走,然後把牙齒分成幾分取出再縫針。
手術完成後病人會感到腫痛。頭一兩天避免進行劇烈的運動,亦可吃一些凍的食物、敷冰以舒緩腫痛,有需要也可以服用消炎止痛藥。在睡覺時抬高枕頭,有助面部消腫。此外,亦有機會出現傷口感染,因此要注意清潔。術後首兩天可輕力清潔傷口位置。
坊間謠傳剝智慧齒會導致面癱,那是不會的。
不過,拔除智慧齒有一些需留意的風險,例如若供應嘴唇感覺的下齒槽神經與智慧齒牙腳的位置非常接近,感覺神經有可能會在手術過程中受損,所以要小心謹慎識選擇合適治療方案。如果神經線太接近牙腳,牙醫可能會選擇牙冠切除術,即是把牙冠取出,將牙腳遺留在牙骨內。港大牙醫學院10多年來的研究顯示,在高風險的情況可大大減低影響神經線的機會。
延伸閱讀
