兒童乳牙過早脫落怎麼辦?間隙保持器是甚麼?牙醫拆解需要佩戴2大情況
有不少家長反映,兒童的乳齒提早脫落了,牙醫建議安裝間隙保持器,到底有必要安裝嗎?
14074次閱讀
有不少家長反映,兒童的乳齒提早脫落了,牙醫建議安裝間隙保持器,到底有必要安裝嗎?
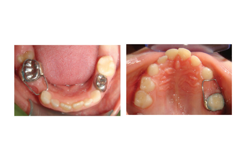
另外,使用修復牙冠來修復蛀牙的牙齒也可以作為自然的間隙保持器,以避免牙齒缺失的後果。乳齒的替換通常是有順序的。如果乳齒提前脫落而未保持間隙,旁邊的牙齒可能會傾斜向缺牙的位置,擠占新牙的生長空間。當新牙長出時,可能沒有足夠的空間,導致牙齒排列不正常,可能需要接受矯正治療。不是每個失去乳齒或出現蛀牙的兒童都需要使用間隙保持器,但應該諮詢牙醫或矯正科醫生的專業建議,讓他們決定是否需要使用。
圖片來源:https://pocketdentistry.com/space-maintenance/
2. 牙齒創傷
兒童的肌肉協調性和平衡力仍在發育階段,他們活潑好動,缺乏危險意識,容易摔倒和受傷。最常見的牙齒創傷是由跌倒、撞傷引起的「撞崩牙」或「甩牙」。在許多兒童中,這種類型的牙齒損傷可能導致他們失去牙齒,尤其是門牙。如果乳齒因創傷而丟失,通常會在缺失牙齒的位置安裝間隙保持器。
香港大學牙醫學院 賽馬會幼童健齒計劃
參考資料:American Academy of Pediatric Dentistry. Management of the developing dentition and occlusion in pediatric dentistry. The Reference Manual of Pediatric Dentistry. Chicago, Ill.: American Academy of Pediatric Dentistry; 2024:475-93.
延伸閱讀
