兒童飲夜奶與牙齒健康:你了解嗎?
許多家長在照顧幼兒的過程中,都會遇到孩子夜晚飲奶的情況。根據衛生署家庭健康服務的資料,夜間餵奶在新生兒期屬正常及需要的行為,有助嬰兒獲得足夠營養及建立安全感。不過,隨著孩子的成長,家長便需要開始考慮何時及如何逐步戒夜奶,以保障牙齒健康。
479次閱讀
許多家長在照顧幼兒的過程中,都會遇到孩子夜晚飲奶的情況。根據衛生署家庭健康服務的資料,夜間餵奶在新生兒期屬正常及需要的行為,有助嬰兒獲得足夠營養及建立安全感。不過,隨著孩子的成長,家長便需要開始考慮何時及如何逐步戒夜奶,以保障牙齒健康。
飲夜奶一般是指孩子在睡覺期間飲奶,或睡前飲用奶後未有清潔牙齒便入睡的情況(包括母乳、奶粉或配方奶),例如夢中迷糊飲奶、或清晨飲完奶後再繼續睡覺,均屬夜奶的範圍。如果寶寶長時間頻密地飲夜奶,而沒有清潔牙齒,奶中的糖分便會長時間停留在牙齒表面,成為細菌滋生的溫床。細菌分解糖分後會產生酸性物質,而剛萌出的乳齒礦化程度較低,抵抗力較弱,更容易受到酸的侵蝕,從而形成蛀牙。
由於幼兒配合度有限,口腔治療往往較為困難。若蛀牙未能及早處理,情況會逐漸惡化,甚至影響牙神經。嚴重蛀牙可引起牙痛及感染,影響進食與營養吸收,繼而影響整體成長發展。
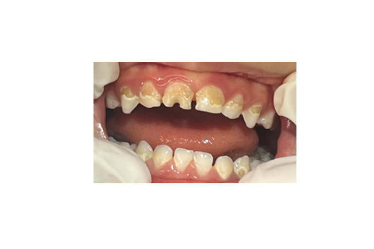
圖1 醫生在口腔外展服務中發現的K1幼兒牙齒情況(家長表示孩子在K1階段仍有飲夜奶習慣)
這是很多哺乳媽媽們常見的疑問:母乳會否導致蛀牙? 答案是:有可能。
母乳雖然天然且營養豐富,但同樣含有乳糖。因此,不論是母乳餵養還是奶瓶餵養,只要長時間在夜間頻密飲奶而沒有徹底清潔牙齒,都有機會增加蛀牙風險。
從寶寶出生的第一天起,家長可以每天用乾淨、濕潤的紗布或毛巾輕輕擦拭寶寶的牙齦,幫助清除殘留乳汁及細菌,建立良好的口腔清潔習慣。當第一顆乳齒長出後,建議家長每天為寶寶刷牙至少兩次,尤其是睡前一次最為重要。
可選用柔軟的嬰兒牙刷及白開水替寶寶清潔。當孩子適應刷牙後,可按年齡使用含氟牙膏,以提升防蛀效果。隨着臼齒長出,孩子一般會較容易適應牙刷清潔。
以下是幼兒0-6歲時口腔護理建議:
長時間夜間飲奶而沒有清潔牙齒,會增加蛀牙風險,不僅影響牙齒的健康,亦可能引起牙痛與感染,影響進食與成長發展。家長應按孩子成長階段,逐步減少夜奶次數,同時維持良好的口腔清潔習慣,為孩子建立健康牙齒基礎。如有疑問,建議及早諮詢牙醫或母嬰健康院,按孩子情況取得適切建議。
孫國芳牙科醫生
牙醫學士,牙醫碩士,哲學博士
香港大學牙醫學院臨床醫生,賽馬會幼童健齒計劃牙科醫生
(部分相片由機構提供)
📣📣📣 如你也想成為《專家解碼》的一分子,與healthyD讀者分享健康心得,或是有志於推廣公共健康教育的醫生或醫護界專業人士,歡迎電郵至healthyD@esdlife.com與編輯部聯絡。
延伸閱讀
